Este descubrimiento hará que controles los factores de riesgo cardiovascular ¡desde ya!
Una investigación de CNIC, publicada por The Lancet, revela que la aterosclerosis influye en la aparición de enfermedades como el Alzheimer. Entre sus conclusiones destaca que cuanto antes empecemos a controlar los factores de riesgo cardiovascular, mejor para nuestro cerebro.
Viernes, 01 de Septiembre 2023
Tiempo de lectura: 6 min
Las enfermedades cardiovasculares y la demencia coexisten en etapas avanzadas en muchas ocasiones. Sin embargo, hay pocos estudios en personas de mediana edad -50 años-, que hayan evaluado la interacción entre la aterosclerosis y sus factores de riesgo sobre la salud del cerebro.
Aterosclerosis y Alzheimer, la prevención es clave
Ahora, una investigación realizada en el Centro Nacional de Investigaciones Cardiovasculares (CNIC) arroja nuevos datos sobre esta relación.
De hecho, confirma la relevancia de controlar los factores de riesgo cardiovascular tradicionales, como hipertensión, colesterol, diabetes, tabaquismo o sedentarismo, no solo para cuidar la salud cardiovascular, sino también para prevenir enfermedades como el alzhéimer.
La aterosclerosis y sus factores de riesgo asociados están implicados en alteraciones cerebrales típicas de la enfermedad de alzheimer
Publicada en The Lancet Healthy Longevity, la investigación del CNIC muestra que la aterosclerosis -el acúmulo de placas de grasa en las arterias- y sus factores de riesgo asociados, además de ser las principales causas de enfermedad cardiovascular, están también implicados en alteraciones cerebrales típicas de la enfermedad de Alzheimer, la causa más común de demencia.
Relaciona factores de riesgo cardiovascular y salud del cerebro
El doctor Valentín Fuster, director general del CNIC y uno de los autores principales del estudio, asegura que esta información es muy relevante.
La razón es que esta investigación abre la posibilidad de actuar sobre un trastorno modificable, como son las enfermedades cardiovasculares, para prevenir el desarrollo de las demencias.
Hay que tener en cuenta que en muchos casos no existe tratamiento para ellas. “Cuanto antes empecemos a controlar los factores de riesgo cardiovascular, mejor será para nuestro cerebro”, indica el doctor Fuster.
Asimismo, subraya el director del CNIC, “a pesar de que todos sabemos la importancia de cuidarse y controlar los factores de riesgo cardiovascular para evitar un infarto, el hecho de que están relacionados con un deterioro de la salud cerebral puede hacer que haya una mayor conciencia de la necesidad de adquirir hábitos saludables en las fases más jóvenes de la vida”.
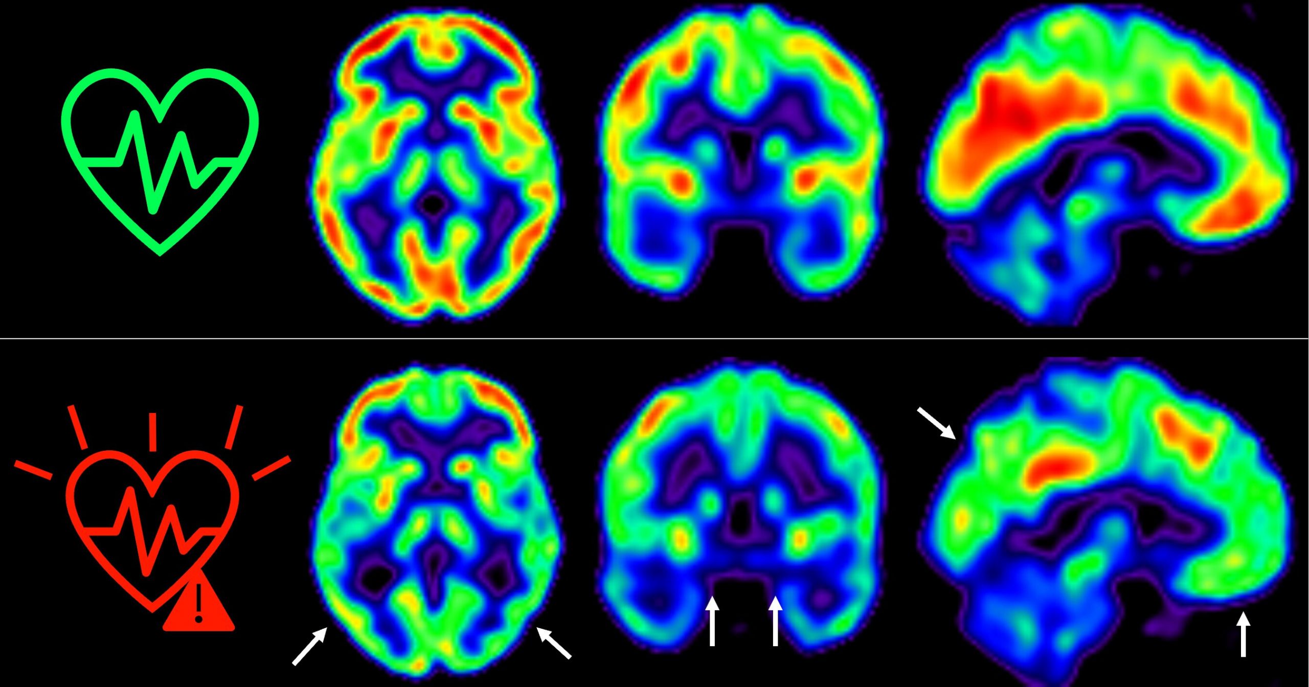
El estudio publicado en The Lancet Healthy Longevity muestra que las personas con un riesgo cardiovascular elevado experimentan una mayor disminución del metabolismo cerebral
En 2021, los investigadores del CNIC descubrieron que la presencia de factores de riesgo cardiovascular y de aterosclerosis subclínica -antes de que aparezcan los síntomas- en las arterias carótidas, que son las que suministran sangre al cerebro, estaba asociada a un menor metabolismo de glucosa cerebral.
El descubrimiento tuvo lugar al evaluar datos de individuos de 50 años aparentemente sanos que participan en el estudio PESA-CNIC-Santander.
El hallazgo sobre la glucosa fue relevante porque el metabolismo de la glucosa cerebral está considerado un indicador de salud cerebral.
El PESA-CNIC-Santander, dirigido por el doctor Fuster, es un estudio prospectivo que incluye a más de 4.000 participantes asintomáticos de mediana edad en los cuales se está evaluando exhaustivamente la presencia y desarrollo de aterosclerosis subclínica desde el año 2010.
Los factores de riesgo cardiovascular acentúan el declive métabólico cerebral
El equipo del doctor Valentín Fuster, liderado por los doctores Marta Cortés Canteli y Juan Domingo Gispert, han seguido a estos individuos a lo largo de 5 años y han detectado aspectos importantes en relación con la enfermedad cardiovascular.
Por ejemplo, se indica que las personas que mantienen un riesgo cardiovascular elevado durante todo este tiempo sufren una disminución aún mayor del metabolismo cerebral.
Esto se ha medido a través de técnicas de imagen como tomografía por emisión de positrones (PET). Este factor es un indicador de salud.

“Hemos detectado un declive metabólico cerebral tres veces mayor que el de personas que se mantienen en bajo riesgo cardiovascular”, señala Catarina Tristão-Pereira, primera firmante del artículo y becaria INPhINIT de la Fundación la Caixa.
La glucosa es la principal fuente de energía de las neuronas y otras células cerebrales. “Si el consumo de glucosa cerebral disminuye durante varios años puede limitar la capacidad del cerebro de lidiar en un futuro con enfermedades neurodegenerativas o cerebrovasculares”, asegura el doctor Gispert, experto en Neuroimagen del CNIC y del Barcelonaβeta Research Center.
De hecho, en colaboración con los doctores Henrik Zetterberg y Kaj Blennow de la Universidad de Gotemburgo (Suecia), expertos mundiales en la determinación de nuevos biomarcadores en sangre, los investigadores de CNIC descubrieron que este declive metabólico se debía en parte a que ya existía daño neuronal en estos individuos.
“Este dato es particularmente relevante, ya que la muerte de las neuronas es un proceso irreversible”, remarca la doctora Cortés Canteli, neurocientífica del CNIC e investigadora Miguel Servet del Instituto de Investigación Sanitaria Fundación Jiménez Díaz.
Colesterol, sedentarismo: están asociados a la aterosclerosis y el alzheimer
Además, el equipo del CNIC descubrió que la progresión de la aterosclerosis subclínica en las carótidas durante estos 5 años se relacionaba con una disminución del metabolismo en regiones cerebrales vulnerables a la enfermedad de Alzheimer. Esto se produce de manera aditiva al efecto de los propios factores de riesgo cardiovascular.
Estos resultados corroboran que la detección por imagen de la aterosclerosis subclínica aporta información muy relevante.
“La relación entre el cerebro y el corazón es un tema fascinante y con este estudio hemos visto que empieza mucho antes de lo que se creía”, añade el doctor Fuster, investigador Principal del estudio PESA.
La investigación del CNIC apoya la prevención cardiovascular primaria en etapas tempranas de la vida para una longevidad cerebral saludable
Los investigadores concluyen que, a la luz de estos resultados, “el cribado de la carótida tiene un gran potencial para identificar a las personas vulnerables a sufrir alteraciones cerebrales y deterioro cognitivo en el futuro”.
En la práctica clínica la prevención cardiovascular primaria es fundamental
Así, indican que “este trabajo podría tener importantes implicaciones para la práctica clínica. Apoya la implementación de estrategias de prevención cardiovascular primaria en etapas tempranas de la vida como enfoque valioso para una longevidad cerebral saludable”.
La doctora Cortés Canteli concluye que “aún no conocemos el impacto que esta disminución en el metabolismo cerebral puede tener sobre la función cognitiva. Pero el haber detectado ya daño neuronal sí que nos indica que cuanto antes empecemos a controlar los factores de riesgo cardiovascular, mejor será para nuestro cerebro”.
El estudio PESA está cofinanciado a partes iguales por CNIC y Banco Santander. Además, recibe financiación del Instituto de Salud Carlos III (ISCIII, PI15/02019 & PI20/00819), Fondo Europeo de Desarrollo Regional (ERDF - A Way to Build Europe) y el Fondo Social Europeo (ESF - Investing in Your Future).
Para este estudio que relaciona aterosclerosis y Alzheimer en particular también ha recibido financiación de la Fundación BrightFocus y una Beca Leonardo a Investigadores y Creadores Culturales de la Fundación BBVA. CNIC cuenta con el apoyo del ISCIII, el Ministerio de Ciencia e Investigación (MCIN) y Fundación Pro-CNIC.
En el estudio han participado investigadores del CIBER de Enfermedades Cardiovasculares (CiberCV), del CIBER de Fragilidad y Envejecimiento Saludable (CiberFES) y el CIBER de Bioingeniería, Biomateriales y Nanomedicina (Ciber-BBN).

Hábitos saludables contra los factores de riesgo cardiovascular
La enfermedad cardiovascular es la primera causa de muerte en España y en el mundo, con alrededor de 120.000 fallecimientos anuales.
Sin embargo, podemos reducir nuestro riesgo hasta en un 84 por ciento adoptando hábitos saludables y controlando los factores de riesgo cardiovascular y luchando contra la aterosclerosis:
-
Llevar una dieta saludable y equilibrada: reducir la ingesta de grasas saturadas y azúcar, y aumentar la ingesta de frutas, verduras, legumbres, cereales integrales, pescado y carnes magras. Como grasa de cocina debemos optar por el aceite de oliva virgen extra. Entre las carnes, se aconsejan las blancas frente a las rojas y en general no comerlas más de dos o tres veces en semana. Entre los pescados, se recomiendan los azules.
-
Hacer ejercicio regularmente: por ejemplo, ejercicio aeróbico de intensidad moderada como caminar, correr, nadar o andar en biciclera. Así podemos mejorar la saludad cardiovascular, reduciendo la presión arterial y el colesterol. Los expertos aconsejar realizar mínimo de 150 minutos semanales de ejercicio.
-
Dejar de fumar: el tabaco es un importante factor de riesgos para la enfermedad cardiovascular.
-
Controlar el estrés: el estrés crónico puede aumentar el riesgo de enfermedad cardiovascular; suele ir acompañado de hábitos nocivos como comer de forma desordenada, fumar o beber. Practicar técnicas de relajación, como la meditación, el yoga o la respiración profunda, puede ayudar a reducir el estrés y mejorar la salud cardiovascular.
-
Vigilar la presión arterial y el colesterol: mantener la presión arterial y los niveles de colesterol bajo control puede reducir el riesgo de enfermedad cardiovascular.
-
Acudir al médico periódicamente para llevar un buen control de los índices de riesgo y valorar el estado de salud mediante analíticas y técnicas de imágen.
-
1 La condesa y el jefe de la Gestapo: el escándalo sexual durante los juicios de Núremberg
-
2 'La mujer del cuadro', los peligros de las fantasías eróticas
-
3 ¿Por qué perdemos el paraguas? (Y las diez claves para encontrarlo)
-
4 Pódcast | Sexo y pasión en la corte: la vida íntima de los reyes de España
-
5 Pódcast | La dramática historia de las primas 'idiotas' y ovidadas de la reina Isabel de Inglaterra
-
1 La condesa y el jefe de la Gestapo: el escándalo sexual durante los juicios de Núremberg
-
2 'La mujer del cuadro', los peligros de las fantasías eróticas
-
3 ¿Por qué perdemos el paraguas? (Y las diez claves para encontrarlo)
-
4 Pódcast | Sexo y pasión en la corte: la vida íntima de los reyes de España
-
5 Pódcast | La dramática historia de las primas 'idiotas' y ovidadas de la reina Isabel de Inglaterra