Borrar
Mikel Casal

De trajes voladores a ambulancias-bicicleta, las tecnologías sanitarias del futuro

Así son algunas herramientas en las que se trabaja que nos ayudarán a 'salvar' la vida

Viernes, 5 de marzo 2021, 00:02

Comenta

Si algún día se queda atrapado en la cima de una montaña y ve a un hombre llegar volando en su rescate, no piense que la falta de oxígeno le está haciendo alucinar. Aunque parezca mentira, los trajes voladores para auxiliar a personas en zonas de alta montaña con difícil acceso son uno de los inventos del futuro en el campo de las tecnologías sanitarias, junto a otros como las ambulancias-bicicleta, las gafas de realidad virtual para realizar intervenciones quirúrgicas, los sistemas de ultrasonido portátiles, los helicópteros propulsados por hidrógeno o el uso de la inteligencia artificial (AI) aplicada a la salud. Parece que nos adentremos en una película de ciencia ficción, pero lo cierto es que la realidad a veces supera incluso a la fantasía.

La tecnología sigue sin dejar de sorprendernos y de ayudarnos a vivir. Cada vez son más los proyectos que se apoyan en ella, especialmente los relacionados con la sanidad, con el fin de buscar nuevas soluciones a problemas existentes y conseguir mejores resultados. Ya somos testigos, e incluso usuarios, de muchos de ellos, como los últimos avances en el campo del diagnóstico por imagen o determinados tratamientos contra enfermedades como el cáncer.

La presente pandemia ha motivado la inversión en investigaciones que aúnan tecnología y salud y los resultados son asombrosos. Al respecto, la inteligencia artificial está siendo una de las tecnologías más explotadas y de las que más se está beneficiando la medicina. Así lo expuso el pasado mes de febrero Carmen González Madrid, presidenta de Fundación Merck Salud, en una ponencia: «Esta herramienta ayuda en el diseño de nuevos fármacos, reduciendo los tiempos y costes de su producción, disminuyen errores de diagnóstico, mejoran la prevención y ofrecen un tratamiento más personalizado de las enfermedades más frecuentes».

Dado que el coronavirus ha sido una de nuestras mayores preocupaciones el último año, desde marzo de 2020 se han puesto en marcha también diversos proyectos de IA aplicados a la covid-19. Uno de ellos es en el que trabaja Francisco Herrera, catedrático de Ciencias de la Computación e IA de la Universidad de Granada (UGR) y miembro de la Real Academia de Ingeniería (RAING), que aplica esta tecnología al diagnóstico por imagen con el objetivo de hacer un cribado de pacientes con coronavirus según la afectación de sus pulmones. Otro, el que dirige Nuria Oliver, ingeniera de telecomunicaciones doctorada en IA por el Instituto Tecnológico de Massachusetts y también miembro de la RAING, cuyo planteamiento consiste en predecir la evolución de la pandemia para, basándose en los datos, tomar decisiones sobre las medidas de contención adecuadas.

«Al inicio de la pandemia nos dimos cuenta de que había un bagaje de ciencia de datos y de avances científicos, aplicables a la salud pública, que no debíamos desaprovechar. La principal limitación ha sido la falta de digitalización de las administraciones. Es decir, como no existía una cultura de datos, como hay en las grandes empresas tecnológicas, la captura y reporte de datos de calidad, como número de positivos o de fallecidos tuvo sus condicionantes. Por eso, quiero pensar que una de las consecuencias de la pandemia será la aceleración de esta necesaria digitalización, para transicionar a una manera de trabajar en la que se analicen los datos de manera sistemática y en la que se utilice la evidencia científica para la toma de decisiones de políticas públicas», expresa Oliver.

Hagamos un repaso más en profundidad por estas nuevas herramientas 'futuristas', que han llegado para quedarse.

  1. Primer sistema de ecografía portátil de mano

En el ámbito de la asistencia médica siempre han surgido problemas para obtener un diagnóstico rápido de la persona accidentada. Lumify es el primer sistema de ecografía portátil de mano (puede transportarse en el bolsillo de una bata médica) con el que es posible obtener información del paciente a través de una tablet o un smartphone, ya sea en el servicio de urgencias de un gran hospital o en una clínica en una aldea remota. Creado por la empresa de telecomunicaciones Philips, su aplicación está facilitando las intervenciones de los profesionales de emergencias para salvar vidas. Por ejemplo, el sistema puede permitir a las matronas en los centros de salud rurales de África consultar a un médico experto en ultrasonido sobre el caso concreto de cada paciente, como si ambos estuvieran en la misma habitación.

Mikel Casal
  1. Gafas que permiten proyectar hologramas

Se llaman HoloLens y las ha creado la compañía tecnológica Microsoft. Con ellas, el cirujano puede ver delante de sus ojos las últimas pruebas radiológicas del paciente (resonancia, TAC), así como un modelo 3D de su cuerpo o de la parte concreta que va a operar, con el fin de hacer una planificación quirúrgica. Su uso permite ahorrar tiempo y dinero y ganar eficacia, porque el nivel de detalle que se alcanza ayuda a intervenir al paciente con mayor exactitud y minimizar los riesgos. Uno de sus pocos inconvenientes es que, por ahora, su autonomía es de tres horas, y hay operaciones que duran mucho más.

Mikel Casal
  1. Ambulancias-bicicleta

La empresa francesa Ecox Entreprises se ha propuesto crear este vehículo eléctrico que se postula como una alternativa para trayectos cortos de emergencia, pues permite llegar al lugar de un accidente más rápido que un ambulancia convencional en ciudades con mucha afluencia de tráfico, un factor que puede equilibrar la balanza entre la vida y la muerte. «Este nuevo dispositivo permite a los médicos cruzar París –la ciudad de Europa más congestionada de tráfico– con el equipamiento sanitario necesario, más rápido que cualquier otro vehículo», aseguran los directores creativos de Wunderman Thompsons París, la agencia que se ha unido a Ecox en el desarrollo de este novedoso avance. El proyecto también ha contado con la supervisión de profesionales de emergencias parisinos.

Mikel Casal
  1. Diagnóstico por imagen y covid-19

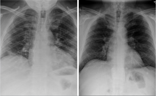
El algoritmo desarrollado por los investigadores de la Universidad de Granada (UGR) puede predecir el grado de afectación de los pulmones en pacientes diagnosticados de covid-19. Lo hace partiendo de la comparación de cientos de imágenes radiográficas pulmonares, tanto de pacientes con coronavirus asintomáticos como aquellos con una afectación grave. «Cuando hay una infección pulmonar, en la imagen aparece una nube blanca, que es de mayor tamaño (de abajo hacia arriba) según lo infectado que esté el órgano», explica Francisco Herrera. Se distinguen cuatro situaciones de gravedad según cómo está de propagada la infección. Cada pulmón se divide en cuatro regiones (lo que suman un total de ocho entre ambos). Una infección severa es la que afecta, almenos, a seis de estas regiones, mientras que una leve implica dos regiones afectadas. El algoritmo tiene una precisión de más del 80% y, más adelante, este mismo modelo pretende utilizarse para distinguir todo tipo de enfermedades pulmonares víricas o bacterianas, como la neumonía.

Comparación de dos radiografías pulmonares. Izquierda: pulmones infectados de coronavirus. Derecha: pulmones sanos. Imagen cedida por Francisco Herrera
  1. Helicópteros propulsados por hidrógeno

Dicho tipo de 'combustible' permitirá a estas aeronaves más autonomía al realizar labores de rescate, así como un reabastecimiento más rápido. Aún están en desarrollo, pero podrán aterrizar en zonas a las que no pueden llegar los helicópteros convencionales.

Mikel Casal
  1. Drones multifuncionales

Esta herramienta está destinada a convertirse en un dispositivo imprescindible para los servicios de emergencia (especialmente los bomberos). Puede alcanzar hasta 300 metros de altura para apagar un fuego o, incluso, actuar como vehículo de rescate en zonas de desastre. Por ejemplo, para la evacuación de personas atrapadas en un edificio en llamas al que es muy peligroso acceder.

Mikel Casal
  1. IA para predecir la evolución de las pandemias

Además de la actuación sanitaria para combatir el coronavirus, las medidas no médicas han demostrado ser también críticas para retrasar y contener su propagación. En esta línea, la IA ha resultado ser fundamental para analizar la efectividad de las medidas públicas impuestas (confinamiento, restricciones de movilidad, preparación anticipada de camas UCI…), así como para determinar las que puedan adoptarse en el futuro. En ello trabaja un equipo multidisciplinar en Valencia, liderado por Nuria Oliver. «Nuestro desempeño se extiende en cuatro áreas: el modelado de la movilidad humana a gran escala, para detectar cómo se propaga el virus y cómo evolucionan los contagios, lo cual se consigue a través de datos anonimizados del teléfono móvil; el desarrollo de modelos epidemiológicos computacionales, es decir, predecir cómo puede ser la situación pandémica bajo distintos escenarios (confinamiento, inmunización…); el modelado predictivo, por ejemplo, de la ocupación hospitalaria; y la realización de una encuesta ciudadana (Covid 19 Impact Survey), que cuenta con más de 6.000 respuestas voluntarias desde el 28 de marzo. Oliver nos invita a realizarla porque «solo se tardan cinco minutos en completarla y la información es de gran ayuda».

Publicidad

Esta funcionalidad es exclusiva para suscriptores.

Reporta un error en esta noticia

* Campos obligatorios

elcorreo De trajes voladores a ambulancias-bicicleta, las tecnologías sanitarias del futuro

De trajes voladores a ambulancias-bicicleta, las tecnologías sanitarias del futuro