Borrar
Llega el DIU para hombres: un gel que bloquea el esperma (pero no el deseo sexual)

El anticonceptivo se inyecta en el escroto

Llega el DIU para hombres: un gel que bloquea el esperma (pero no el deseo sexual)

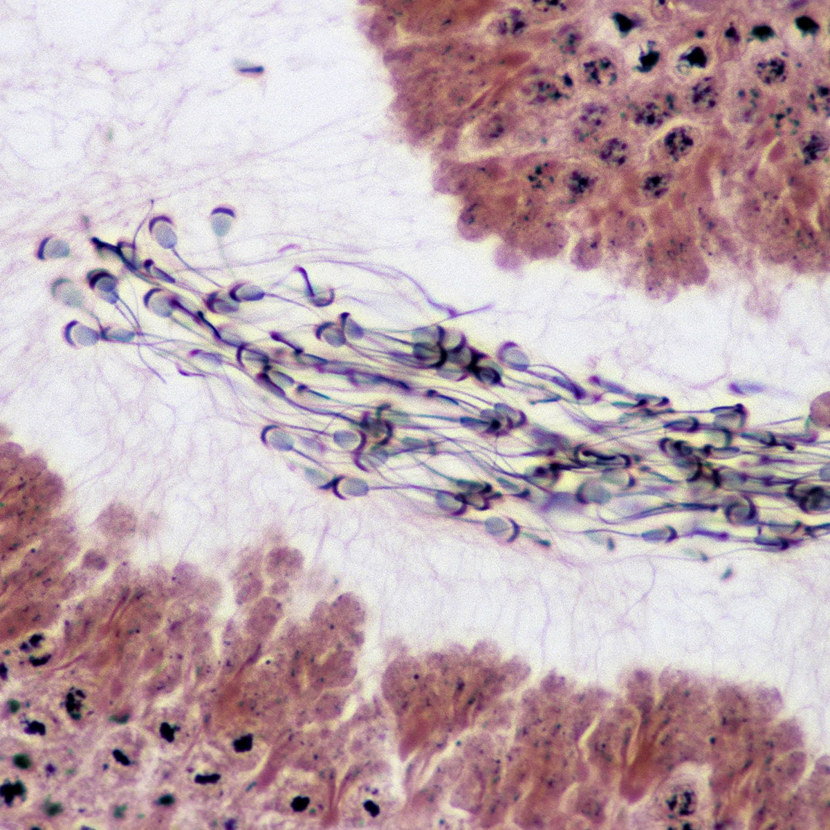
Esperma en los conductos deferentes, unos tubos con forma de espiral que transportan los espermatozoides fuera de los testículos y donde actúa el anticonceptivo.

Una empresa de biotecnología ha desarrollado una alternativa a la vasectomía, totalmente reversible. Se trata de un hidrogel que se inyecta en el escroto y que ha demostrado una gran eficacia anticonceptiva, sin rebajar la libido. Y no es el único avance en este campo. La nueva masculinidad también despierta la conciencia –y el mercado– para que los hombres se impliquen más en el control de la natalidad.

Miércoles, 17 de Enero 2024, 12:00h

Tiempo de lectura: 6 min

Se llama Adam y se presenta como un anticonceptivo temporal para hombres cuyos efectos duran dos años. El ensayo está todavía en fase inicial pero según ha comunicado Contraline, la empresa de biotecnología responsable del estudio, con sede en Virginia, EE. UU, a los 30 días de su inserción, el gel redujo en más de un 99 por ciento el número de espermatozoides en movimiento y no se han notificado efectos secundarios graves.

alternative text
Ensayo general. La biotecnológica Contraline anunció que un equipo de cirujanos australianos ha realizado la intervención en 23 hombres. Se inyecta un hidrogel en los conductos deferentes, el par de tubos del aparato reproductor masculino que transportan el esperma maduro. Los resultados y el seguimiento de los pacientes hasta ahora son muy positivos en cuanto a seguridad y eficacia.

Kevin Eisenfrats, director ejecutivo de Contraline, afirma que es como un Dispositivo Intrauterino (DIU), pero para hombres: «Está hecho para aquellos que no están preparados para tener hijos, los que están espaciando el momento de tenerlos o los que creen que ya tienen suficientes, pero no quieren asumir aún esa opción como definitiva».

Si los científicos consiguen demostrar que este método es seguro y eficaz podría convertirse en el primer anticonceptivo masculino reversible no hormonal del mercado.

Mientras tanto, hay otros ensayos sobre métodos anticonceptivos masculinos en fase de desarrollo, aunque ninguno termina de cuajar. El primero forma parte de un ensayo clínico internacional según el cual la combinación de testosterona y estrógeno sintético (Nestorone) bloquea la producción de espermatozoides hasta unos niveles en los que el varón puede considerarse técnicamente estéril, sin afectar a su deseo sexual. El segundo es un gadget, con un aspecto entre tazón y altavoz inteligente, que solo con saber que se conoce como “baño de testículos” ya parece más difícil asegurar que vaya a sostener la segunda de la premisas, lo la libido. Vamos por partes.

alternative text
Aplicar sobre los hombros. Otro tipo de gel anticonceptivo que está en fase de ensayos reduce el esperma con una simple aplicación sobre la piel, en los hombros y espalda preferentemente, una vez al día. En el ensayo logró reducir la producción de esperma a niveles compatibles con tasas muy bajas de embarazo. Al dejar de aplicarse, todos los participantes recuperaron la concentración de esperma.

Considerado como el ensayo en desarrollo más prometedor de los últimos años en el terreno de la anticoncepción masculina, el estudio sobre el gel hormonal ha sido promovido por los Institutos Nacionales de la Salud (NIH) de Estados Unidos y en él han participado 420 parejas en edad reproductiva y sin ningún problema de fertilidad. Se trata de un gel transdérmico que se aplica diariamente en los hombros y en la parte superior del brazo y se estima que su ensayo se completará en 2023. En declaraciones a la BBC, John Reynolds-Wright, director del estudio de la Universidad de Edimburgo, aseguró que se espera que el producto alcance una tasa de efectividad como la de la píldora anticonceptiva, es decir, entre el 97 y el 99 por ciento.

El objetivo es un anticonceptivo no hormonal. Y es que efectos secundarios como acné o depresión –habituales en la píldora femenina– hace que se detengan de inmediato los ensayos con hombres

Por su parte, el dispositivo ultrasónico está basado en ensayos anteriores sobre anticonceptivos masculinos hechos por la fundación Parsemus, una organización estadounidense sin ánimo de lucro enfocada a apoyar estudios en prueba. El aparato en cuestión se llama Coso, todavía no se ha probado en humanos y explicarlo resulta más difícil sin caer en imaginar cómo remonta uno la escena después de su utilización. Así que vamos a intentar ser literales con la descripción de su propia creadora. Rebecca Weiss, graduada en diseño industrial en la Universidad de Munich: «El usuario pone agua en el dispositivo hasta la marca indicada que se establece junto con un médico, de acuerdo al tamaño de los testículos. Luego, el agua se calienta y está listo para el tratamiento con ultrasonido. El usuario abre las piernas y se sienta para colocar los testículos en el dispositivo. El proceso continua durante unos minutos». Fin de la cita.

alternative text
Dispositivo testicular. El dispositivo sobre el que colocar los testículos para calentarlos y reducir la carga de esperma puede resultar intimidante, pero se basa en estudios sólidos: elevar la temperatura reduce sustancialmente la producción de esperma. Y no afecta a la virilidad.

Pero tampoco se trata de subestimar el método 'de la temperatura'. Pierre Colin, geólogo de formación, lleva años investigando en este sentido; cómo articular el hecho de que aumentar la temperatura de los testículos de 34 a 37 grados puede detener la producción de esperma. La propuesta de Colin, según cuenta en The Guardian, es una especie de suspensorio, pero también hay artefactos en forma de 'anillo'.  La ventaja del método térmico es que no implica hormonas y, aunque invite a la broma, es, en realidad, un síntoma de que la investigación en anticoncepción masculina comienza a tomarse en serio.

Las farmacéuticas ven «incierto» el mercado

Mientras que las mujeres comenzaron a utilizar la píldora como anticonceptivo en la década de 1960 en Estados Unidos, la investigación sobre su equivalente masculino ha ido mucho más lenta.

En los años 70 en Estados Unidos se llevaron a cabo los primeros ensayos de una mezcla hormonal inyectable de testosterona y progestágenos para detener la producción de esperma. Y mostraron resultados prometedores. A principios de los 90, la Organización Mundial de la Salud reclutó a 271 parejas de siete países para participar en un ensayo similar. De nuevo, los resultados fueron alentadores, ya que solo se produjo un embarazo, pero las empresas farmacéuticas no estaban dispuestas a invertir los 1.000 millones de dólares necesarios para desarrollar un fármaco, alegando que el mercado masculino era «incierto».

El aparato de ultrasonidos requiere que el usuario coloque los testículos sobre el dispositivo durante unos minutos

En realidad, el factor más determinante es el miedo de los hombres a perder su virilidad, por mucho de que los expertos aseguren que los anticonceptivos masculinos no reducen la libido. Lo que sí pueden tener es otros efectos colaterales, exactamente igual que los femeninos. En 2016, un ensayo de hormonas inyectables se detuvo después de que 20 hombres abandonaran por un aumento del acné y la depresión, efectos secundarios comunes de la píldora que toman las mujeres.

Ahora se está llevando a cabo un estudio con un anticonceptivo no hormonal desarrollado por científicos de la Universidad de Minessota que se ha probado en ratones y que tiene una eficiencia cercana al cien por cien. También en este caso, el proceso es reversible y los animales recuperaron la fertilidad después de cuatro a seis semanas. El próximo paso es empezar ensayos clínicos en humanos que, según explican, podrían empezar este mismo año. «Queríamos desarrollar un anticonceptivo masculino no hormonal para evitar efectos secundarios», asegura Abdullah Al Noman, del laboratorio de Gunda Georg en la Universidad de Minnesota y uno de los autores del ensayo que demuestra que actuar sobre la proteína denominada receptor alfa del ácido retinoico (RAR-α), implicada en la formación de espermatozoides, los hace temporalmente estériles sin efectos secundarios.

El 79 por ciento de los hombres españoles dicen estar dispuestos a compartir la responsabilidad anticonceptiva con sus compañeras

«Múltiples estudios demuestran que los hombres están interesados en compartir la responsabilidad anticonceptiva con sus compañeras», explicaba Al Noman durante la presentación de su ensayo sobre la píldora masculina. En España, concretamente el 79 por ciento. O al menos así lo recoge la encuesta realizada por la compañía We-Vibe e YLabs, institución de investigación del Laboratorio de Innovación de la Universidad de Harvard (Estados Unidos). Los investigadores, que entrevistaron a más de 3500 personas y a siete expertos en sexualidad de Canadá, Francia, Alemania, Suiza, Reino Unido, Estados Unidos y España, descubrieron que, en la mayoría de categorías, los hombres españoles se sitúan a la cabeza en cuanto a predisposición para recibir este fármaco.

Etiquetas: sexo
MÁS DE XLSEMANAL